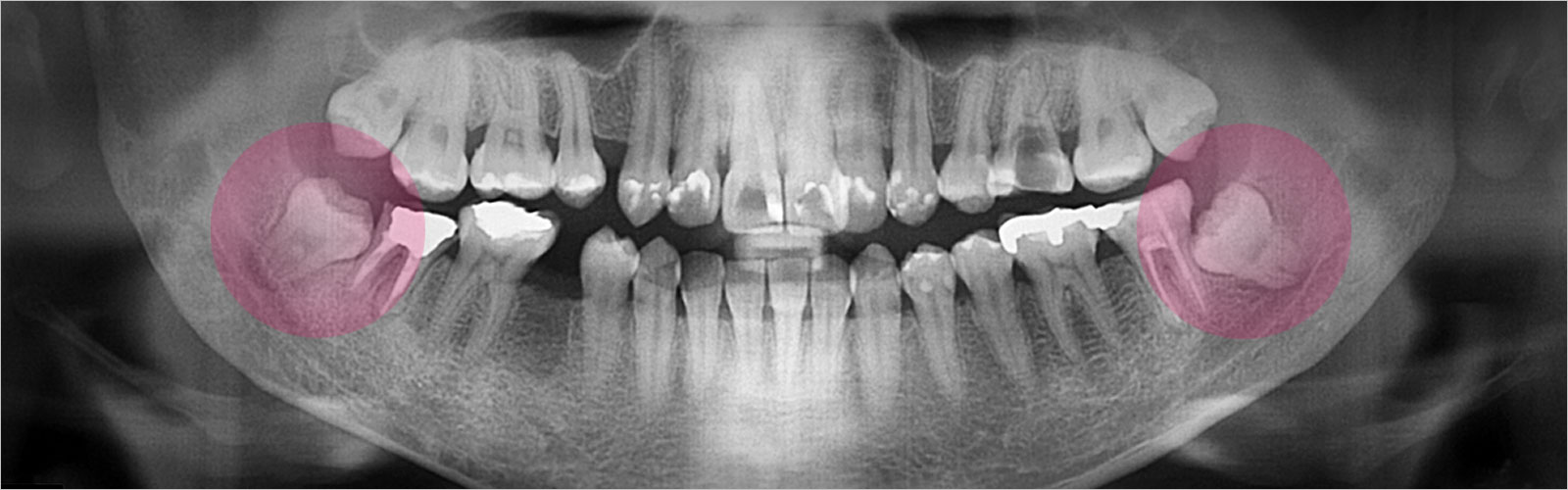
사랑니 발치
사랑니 발치
그랜드치과는 최적화된 진료시스템을 통해
합리적인 비용으로 고품격의 진료서비스를 제공해 드립니다.
합리적인 비용으로 고품격의 진료서비스를 제공해 드립니다.

사랑니 발치
그랜드 치과의 사랑니 클리닉은 정밀한 치과용 CT를 통해 사랑니의 다양한 양상을 정확하게 진단하고 그동안 축적한 임상경험과 노하우를 바탕으로 대학병원에 가지 않고, 또 대학병원처럼 오래 기다릴 필요없이 빠른 시일 안에 사랑니를 안전하게 발치할 수 있습니다.





사랑니의 문제점















