자가체혈 뼈이식술
자가체혈 뼈이식술
합리적인 비용으로 고품격의 진료서비스를 제공해 드립니다.

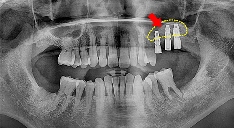
뼈이식 임플란트란?
성공적인 임플란트를 위해서는 잇몸뼈의 상태가 가장 중요한 핵심이라고 할 수 있습니다. 임플란트를 식립한 이후 잘 고정되기 위해서는 잇몸뼈의 양이 충분하고 상태가 양호해야 하기 때문인데요, 임플란트 시술부위에 치조골이 충분하지 못한 경우에는 인공뼈를 이식하여 잇몸 뼈의 양을 늘린 후에 임플란트를 식립해 주어야 합니다. 이렇게 임플란트의 성공률을 높여주기 위해 필요한 시술을 ‘뼈이식술’ 또는 ‘치조골이식술’이라고 합니다.

PRF 자가혈 뼈이식이란?
환자 자신의 혈액에서 추출한 고농축 혈소판을 이식할 뼈와 함께 사용하는 시술방법입니다. 혈액내 성장인자를 추출한 후, 뼈 형성을 촉진시켜 기존 뼈 이식보다 거부반응과 부작용이 적고 뼈 이식비용이 절감되는 효과가 있습니다. 또한 시술시간 및 임플란트 기능이 가능한 잇몸 뼈 형성기간도 단축할 수 있는 발전된 차세대 임플란트 입니다.





상악동거상술이란?
상악동은 얼굴의 코와 광대뼈 사이 안쪽에 있는 빈공간을 말하는데요, 상악동은 뼈가 없는 공간이기 때문에 임플란트를 식립하기가 어렵기도 하지만 사람에 따라서는 상악동이 치아 부분까지 내려오는 경우가 있습니다. 이 때 상악동을 위로 밀어올려 그 부위에 뼈이식을 함으로써 임플란트를 시술할 수 있는 충분한 공간을 확보하는 시술을 '상악동거상술'이라고 합니다.















