라미네이트
라미네이트
그랜드치과는 최적화된 진료시스템을 통해
합리적인 비용으로 고품격의 진료서비스를 제공해 드립니다.
합리적인 비용으로 고품격의 진료서비스를 제공해 드립니다.

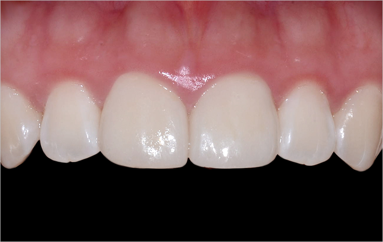
라미네이트란?
라미네이트는 보통 전치부의 표면을 최소한으로 삭제한 후 인조 손톱을 붙이듯이 치아 색과 유사한 얇은 도재를 부착해 치아의 모양을 개선해 주는 심미 보철치료입니다. 이러한 라미네이트 시술은 앞니의 크기나 형태 색상 등을 예쁘게 만들어 줄 수 있으며 어느 정도 삐뚤어진 치아도 가지런하게 만들 수 있습니다.

라미네이트의 장점
라미네이트는 치아성형은 물론 치열을 바로잡아 주고 미백효과까지 기대할 수 있어 매우 심미적인 보철치료라고 할 수 있습니다. 특히 자연치아색을 자연스럽게 구현할 수 있고 내구성도 우수해 짧은 시간 안에 효과적으로 치아를 성형해 줄 수 있는 심미치료입니다.



















